
The laboratory mouse has played a central role in biomedical research for many years and imaging has become an integral part of much of that research. The AIRC houses both MR and nuclear medicine imaging equipment for pre-clinical studies in small animals.
![]()
AIRC researchers have a long history of using stable isotope tracers and NMR to study metabolism in laboratory animals. The AIRC receives support from two NIH-funded grants. The Research Resource grant supports both the development of new NMR technologies for measuring metabolic flux in vivo and the design of novel molecular imaging agents for monitoring ions and metabolites. A Mouse Metabolic Phenotyping Center (MMPC) grant supports development of stable isotopes to measure flux through a variety of metabolic pathways in laboratory mice.
Brain imaging
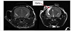
Understanding location and severity of a brain lesion and its response to therapy is one application where MRI is advantageous.
Here we use MRI to study development of the traumatic injured area over time.
Heart imaging
MRI can also be used to image the beating heart in live mice. The images shown here are of different phases of the cardiac cycle for an adult and a 1-day old mouse.
Kidney imaging
Chronic kidney disease, or renal failure, can be studied by obstructing the urinary flow from the mouse kidney. The images to the right illustrate the
progression from hydronephrosis to renal fibrogenesis.
Lung Imaging
MRI is also useful for detection of lung cancer and pulmonary function. Shown here are a respiratory / cardiac-gated MR image, maximum intensity projection image
and volume-rendered image of a mouse lung with a submillimeter tumor.
Magnetic Resonance Spectroscopy
In addition to imaging, the animal scanners can collect spectra (MRS) of various biological nuclei, 1H, 13C, 31P, 23Na & other nuclei. The three largest
resonances in this 31P spectrum are from phosphocreatine (PCr) and ATP. This allows a direct measure of muscle energetics.
The small animal imaging core facility has a state-of-the-art Siemens Inveon PET/CT Multimodality System for laboratory animal PET and CT studies on a single integrated gantry. Built on the Siemens Inveon acquisition architecture, the Inveon Multimodality system fully integrates each modality into a common data acquisition system for automatic transition between modes and seamless coordination of CT and PET data acquisition.
These PET/CT images demonstrate that a 64Cu-labeled GLP-1 analog specifically target pancreatic beta cells in a mouse.
Mice receiving the radiotracer showed a significantly elevated signal in the pancreas region as compared to mice co-injected
with unlabeled exendin-4 (competitive binding) or in STZ-treated mice lacking beta cells. The imaging result was further
confirmed by ex vivo imaging of the organs of interest excised from the mice and immunohistochemical staining of corresponding tissue slices.
Increased bone mass is commonly measured by DEXA; however, DEXA is limited in that it does not allow separate analysis of
the cortical and trabecular compartments of bone. Increases in either component could drive a high bone mass phenotype. MicroCT
images shown here and quantitative data analysis indicate that loss of GPR30 signaling impacts both compartments and bone-microarchitecture.
The mice with a GPR30KO exhibited a higher BV/TV, trabecular thickness, trabecular number, and cortical thickness when compared with WT mice.
Quantitative dynamic PET images of FDG (18F-deoxyglucose) uptake into the brains of WT versus p35 KO mice demonstrate 50 % greater
uptake of glucose in the KO animals. This indicates that the absence of p35 results in an increase in glucose metabolism in brain.
This study also demonstrates that small animal PET/CT is able to distinguish compartments within the brain and differences in the rate of
glucose metabolism in those compartments may aid in diagnosis of hyperactivity disorders in patients.